REVIEW PAPER
Anti-CD20 treatment in multiple sclerosis
J Pre Clin Clin Res. 2025;19(4):176-182
CASE REPORT
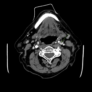
Are pheochromocytomas easy to find?
J Pre Clin Clin Res. 2025;19(2):49-51
REVIEW PAPER
Artificial intelligence in anesthesiology – a review
J Pre Clin Clin Res. 2024;18(3):265-269
REVIEW PAPER
Effects of ketogenic diet on epilepsy in children
J Pre Clin Clin Res. 2024;18(3):201-206
CASE REPORT
Penetrating eye injuries- case description
J Pre Clin Clin Res. 2024;18(3):185-189
CASE REPORT
Gardner syndrome with desmoid tumors – case report
J Pre Clin Clin Res. 2024;18(1):11-15
REVIEW PAPER
ANCA Glomerulonephritis after COVID-19 and post-COVID-19 vaccination – current state of knowledge
Justyna Małgorzata Tomasik,
Piotr Sajdak,
Seweryn Ziajor,
Mikołaj Turski,
Artur Bednarski,
Marika Dębik,
Marcel Stodolak,
Łukasz Szydłowski,
Aleksandra Krużel,
Klaudia Żurowska,
Kamil Kłos
J Pre Clin Clin Res. 2024;18(1):67-73
REVIEW PAPER
Nipple trauma in lactation - literature review
J Pre Clin Clin Res. 2023;17(3):171-175
REVIEW PAPER
Risk factors for carpal tunnel syndrome
J Pre Clin Clin Res. 2023;17(3):167-170
REVIEW PAPER
Intraosseous schwannoma of upper limb –review
J Pre Clin Clin Res. 2023;17(2):101-105
REVIEW PAPER
Botulinum in selected neurological disorders - review
J Pre Clin Clin Res. 2021;15(4):176-183
REVIEW PAPER
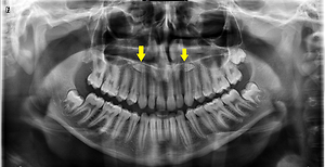
Hyperdontia: Exploring the Developmental Abnormality
J Pre Clin Clin Res. 2020;14(4):178-183
REVIEW PAPER
Cognitive consequences of metabolic disorders
J Pre Clin Clin Res. 2020;14(4):139-144
CASE REPORT
Gullo’s Syndrome – case report
J Pre Clin Clin Res. 2020;14(4):117-119
REVIEW PAPER
Magnoflorine – a compound with anti-tumour activity
J Pre Clin Clin Res. 2020;14(3):98-101
REVIEW PAPER
SARS-CoV-2 infection – spread and pathogenicity
J Pre Clin Clin Res. 2020;14(2):49-51
REVIEW PAPER
Quality of informed consent in clinical trials
J Pre Clin Clin Res. 2020;14(1):22-24
REVIEW PAPER
Supernumerary Teeth – Literature Review
J Pre Clin Clin Res. 2020;14(1):18-21
CASE REPORT
Metallic foreign body in the orbit – case report
J Pre Clin Clin Res. 2020;14(1):11-13
REVIEW PAPER
Influence of natural dairy probiotics on health
J Pre Clin Clin Res. 2019;13(4):153-161
REVIEW PAPER
Applications of Cytosorb in clinical practice
J Pre Clin Clin Res. 2019;13(4):162-166
REVIEW PAPER
Role of vitamin A in health and illness
J Pre Clin Clin Res. 2019;13(3):137-142
CASE REPORT
Injury of a giant tophus on the elbow – Case Report
J Pre Clin Clin Res. 2018;12(4):123-125
REVIEW PAPER
Clinical application of AD-MSCs – A review
J Pre Clin Clin Res. 2018;12(3):100-105
REVIEW PAPER
Public health impact of osteoporosis in older age
J Pre Clin Clin Res. 2018;12(3):106-109
REVIEW PAPER
Betulin and betulinic acid in cancer research
J Pre Clin Clin Res. 2018;12(2):72-75
REVIEW PAPER
Anti-tubercular substances produced by plants
J Pre Clin Clin Res. 2017;11(2):147-152