CASE REPORT
Gastrointestinal stromal tumours: a surprising clinical course – case report and literature review
More details
Hide details
1
Medical University, University Clinical Hospital No. 4, Lublin, Poland
2
Student Scientific Society, Chair and Department of Gastroenterology with Endoscopy Unit, Medical University of Lublin, Poland
3
Saint Queen Jadwiga’s Regional Clinical Hospital No. 2, Rzeszów, Poland
4
Cardinal Stefan Wyszynski Provincial Specialist Hospital, Lublin, Poland
5
Department of Gastroenterology with Endoscopy Unit, Medical University,University Clinical Hospital No. 4, Lublin, Poland
Corresponding author
Kinga Aleksandra Knop- Chodyła
Doctor on Internship, Medical University of Lublin, University Clinical Hospital No. 4 in Lublin, Jaczewskiego 8, 20-954, Lublin, Poland
J Pre Clin Clin Res. 2024;18(3):231-235
KEYWORDS
TOPICS
ABSTRACT
Introduction:
Gastrointestinal stromal tumours (GISTs) are considered the most common mesenchymal lesions of the
gastrointestinal tract, despite accounting for less than 1% of cancers diagnosed in this area. They frequently occur in the stomach and small intestine, rarely in the colon and esophagus.
Case Report:
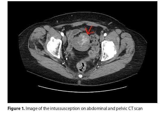
The report concerns an unusual case of a patient referred to hospital with abdominal pain and suspected
ileocecal intussusception. Ileus was confirmed during diagnostic evaluation. Surgical resection of the tumour mass was performed to release intestinal loops. Based on histology and immunohistochemical staining, GIST was diagnosed. Currently, the patient remains under constant clinical monitoring.
Conclusions:
The evolution of gastrointestinal stromal tumours is highly variable. Both the signs and symptoms and
tumor localization in the described case are very unusual for this disease. Adequate diagnosis remains critical to implement appropriate therapeutic management.
Knop-Chodyła KA, Piasecka Z, Kochanowska-Mazurek A, Wesołek E, Głaz A, Kasztelan- Szczerbińska B, Skrzydło-Radomańska B. Gastrointestinal
stromal tumors: surprising clinical course – case report and literature review. J Pre-Clin Clin Res. 2024; 18(3): 231–235. doi: 10.26444/jpccr/191552
REFERENCES (30)
1.
Rodrigues JBSR, Campanati RG, Nolasco F, et al. Pre-operative gastric gist downsizing: the importance of neoadjuvant therapy. Arq Bras Cir Dig. 2019 Feb 7;32(1):e1427. doi:10.1590/0102-672020180001e1427.
2.
Gheorghe G, Bacalbasa N, Ceobanu G, et al. Gastrointestinal Stromal Tumours-A Mini Review. J Pers Med. 2021 Jul 22;11(8):694. doi: 10.3390/jpm11080694.
3.
Parab TM, DeRogatis MJ, Boaz AM, et al. Gastrointestinal stromal tumours: a comprehensive review. J Gastrointest Oncol. 2019 Feb;10(1):144–154. doi:10.21037/jgo.2018.08.20.
4.
Søreader K, Sandvik OM, Søride JA, et al. Global epidemiology of gastrointestinal stromal tumours (GIST): A systematic review of population-based cohort studies. Cancer Epidemiol. 2016 Feb;40:39–46. doi:10.1016/j.canep.2015.10.031.
5.
Kindblom LG, Remotti HE, Aldenborg F, et al. Gastrointestinal pacemaker cell tumour (GIPACT): gastrointestinal stromal tumours show phenotypic characteristics of the interstitial cells of Cajal. Am J Pathol. 1998 May;152(5):1259–69.
6.
Joensuu H, Hohenberger P, Corless CL. Gastrointestinal stromal tumour. Lancet. 2013 Sep 14;382(9896):973–83. doi:10.1016/S0140-6736(13)60106-3.
7.
El-Menyar A, Mekkodathil A, Al-Thani H. Diagnosis and management of gastrointestinal stromal tumours: An up-to-date literature review. J Cancer Res Ther. 2017 Oct-Dec;13(6):889–900. doi:10.4103/0973-1482.177499.
8.
Fülöp E, Marcu S, Milutin D, et al. Gastrointestinal stromal tumours: review on morphology, diagnosis and management. Rom J Morphol Embryol. 2009;50(3):319–26.
9.
Gupta A, Gupta S, Tandon A, et al. Gastrointestinal stromal tumour causing ileo-ileal intussusception in an adult patient a rare presentation with review of literature. Pan Afr Med J. 2011;8:29. doi:10.4314/pamj.v8i1.71086.
10.
Watanabe T, Sugiyama Y, Kawakita H, et al. A Case of Small Intestinal GIST Diagnosed by Intussusception. Gan To Kagaku Ryoho. 2022 Dec;49(13):1986–1988. Japanese.
11.
Akahoshi K, Sumida Y, Matsui N, et al. Preoperative diagnosis of gastrointestinal stromal tumour by endoscopic ultrasound-guided fine needle aspiration. World J Gastroenterol. 2007 Apr 14;13(14):2077–82. doi:10.3748/wjg.v13.i14.2077.
12.
Jacobson BC, Bhatt A, Greer KB, et al. ACG Clinical Guideline: Diagnosis and Management of Gastrointestinal Subepithelial Lesions. Am J Gastroenterol. 2023 Jan 1;118(1):46–58. doi:10.14309/ajg.0000000000002100.
13.
Akahoshi K, Oya M, Koga T, et al. Current clinical management of gastrointestinal stromal tumour. World J Gastroenterol. 2018 Jul 14;24(26):2806–2817. doi:10.3748/wjg.v24.i26.2806.
14.
Burch J, Ahmad I. Gastrointestinal Stromal Cancer. 2022 Sep 26. In: StatPearls [Internet]. Treasure Island (FL): StatPearls Publishing; 2024 Jan.
15.
Sekine M, Asano T, Mashima H. The Diagnosis of Small Gastrointestinal Subepithelial Lesions by Endoscopic Ultrasound-Guided Fine Needle Aspiration and Biopsy. Diagnostics (Basel). 2022 Mar 25;12(4):810. doi:10.3390/diagnostics12040810.
16.
Zhang XC, Li QL, Yu YF, Yao LQ, et al. Diagnostic efficacy of endoscopic ultrasound-guided needle sampling for upper gastrointestinal subepithelial lesions: a meta-analysis. Surg Endosc. 2016 Jun;30(6):2431–41. doi:10.1007/s00464-015-4494-1.
17.
Casali PG, Blay JY, Abecassis N, et al. Gastrointestinal stromal tumours: ESMO-EURACAN-GENTURIS Clinical Practice Guidelines for diagnosis, treatment and follow-up. Ann Oncol. 2022 Jan;33(1):20–33. doi: 10.1016/j.annonc.2021.09.005.
18.
Evans JA, Chandrasekhara V, Chathadi KV, et al. The role of endoscopy in the management of premalignant and malignant conditions of the stomach. Gastrointest Endosc. 2015 Jul;82(1):1–8. doi:10.1016/j.gie.2015.03.1967.
19.
Ye LS, Li Y, Liu W, et al. Clinical course of suspected small gastrointestinal stromal tumours in the stomach. World J Gastrointest Surg. 2020 Apr 27;12(4):171–177. doi:10.4240/wjgs.v12.i4.171.
20.
Nishida T, Blay JY, Hirota S, Kitagawa Y, Kang YK. The standard diagnosis, treatment, and follow-up of gastrointestinal stromal tumours based on guidelines. Gastric Cancer. 2016 Jan;19(1):3–14. doi:10.1007/s10120-015-0526-8.
21.
Schaefer IM, Mariño-Enríquez A, Fletcher JA. What is New in Gastrointestinal Stromal Tumour? Adv Anat Pathol. 2017 Sep;24(5):259–267. doi:10.1097/PAP.0000000000000158.
22.
Miettinen M, Lasota J. Gastrointestinal stromal tumours: pathology and prognosis at different sites. Semin Diagn Pathol. 2006 May;23(2):70–83. doi:10.1053/j.semdp.2006.09.001.
23.
Schaefer IM, DeMatteo RP, Serrano C. The GIST of Advances in Treatment of Advanced Gastrointestinal Stromal Tumour. Am Soc Clin Oncol Educ Book. 2022 Apr;42:1–15. doi:10.1200/EDBK_351231.
24.
Etherington MS, DeMatteo RP. Tailored management of primary gastrointestinal stromal tumours. Cancer. 2019 Jul;125(13):2164–2171. doi:10.1002/cncr.32067.
25.
Mantese G. Gastrointestinal stromal tumour: epidemiology, diagnosis, and treatment. Curr Opin Gastroenterol. 2019 Nov;35(6):555–559. doi:10.1097/MOG.0000000000000584.
26.
Wu CE, Tzen CY, Wang SY, Yeh CN. Clinical Diagnosis of Gastrointestinal Stromal Tumour (GIST): From the Molecular Genetic Point of View. Cancers (Basel). 2019 May 16;11(5):679. doi:10.3390/cancers11050679.
27.
Szucs Z, Thway K, Fisher C, et al. Molecular subtypes of gastrointestinal stromal tumours and their prognostic and therapeutic implications. Future Oncol. 2017 Jan;13(1):93–107. doi:10.2217/fon-2016-0192.
28.
Dudzisz-Śledź M, Bylina E, Teterycz P, et al. Treatment of Metastatic Gastrointestinal Stromal Tumours (GIST): A Focus on Older Patients. Drugs Aging. 2021 May;38(5):375–396. doi:10.1007/s40266-021-00841-x.
29.
Kelly CM, Gutierrez Sainz L, Chi P. The management of metastatic GIST: current standard and investigational therapeutics. J Hematol Oncol. 2021 Jan 5;14(1):2. doi:10.1186/s13045-020-01026-6.
30.
Naito Y, Nishida T, Doi T. Current status of and future prospects for the treatment of unresectable or metastatic gastrointestinal stromal tumours. Gastric Cancer. 2023 May;26(3):339–351. doi:10.1007/s10120-023-01381-6.