CASE REPORT
Figure from article: Mayer-Rokitansky-Küster-Ha...
 
KEYWORDS
TOPICS
ABSTRACT
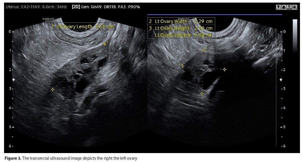
Mayer-Rokitansky-Küster-Hauser (MRKH) syndrome is characterized by uterus and vagina aplasia with normal ovary function. The first symptom is primary amenorrhea. It is necessary to exclude potential causes, among which MRKH syndrome takes second place. A 15-year-old patient was first admitted to the gynaecology clinic due to the primary amenorrhea and abdominal pain. The girl had received ALL chemotherapy at the ages of seven and eight. Hormonal tests showed no ovarian dysfunction. In the transrectal USG performed by a paediatric gynecologist a 2.5cm long vaginal fragment was visualized, MRI confirmed a rudimentary uterus. The girl was offered vaginal correction by dilators. Intercourse attempts were still painful despite the treatment, hence the patient agreed to surgery. The diagnosis of MRKH syndrome in paediatric patients can be complicated by the coexistence of other conditions presenting with primary amenorrhea, especially among patients after chemotherapy.
REFERENCES (18)
1.
Chen N, Song S, Bao X, Zhu L. Update on Mayer-Rokitansky-Küster-Hauser syndrome. Front Med. 2022;16(6):859–872. doi:10.1007/s11684-022-0969-3.
 
2.
Herlin MK, Petersen MB, Brännström M. Mayer-Rokitansky-Küster-Hauser (MRKH) syndrome: a comprehensive update. Orphanet J Rare Dis. 2020;15(1):214. Published 2020 Aug 20. doi:10.1186/s13023-020-01491-9.
 
3.
Bombard DS 2nd, Mousa SA. Mayer-Rokitansky-Kuster-Hauser syndrome: complications, diagnosis and possible treatment options: a review. Gynecol Endocrinol. 2014;30(9):618–623. doi:10.3109/09513590.2014.927855.
 
4.
Al Dandan O, Hassan A, Alsaihati A, Aljawad L, Almejhim F. A rare form of Mayer-Rokitansky-Küster-Hauser syndrome: Case report and review of literature. Case Rep Womens Health. 2019;24:e00137. Published 2019 Aug 6. doi:10.1016/j.crwh.2019.e00137.
 
5.
Shahid MM. MRKH syndrome and Turner syndrome co-existing in a patient with primary amenorrhoea. Sri Lanka Journal of Diabetes Endocrinology and Metabolism. 2020;10(1):30–33. doi:10.4038/sjdem.v10i1.7419.
 
6.
John DH, Wekere FCC, Chuku CI, Awoyesuku PA, Obioha S et al. Mullerian agenesis coexisting with gonadal dysgenesis in a lady with 46, XX karyotype: A rare case report. International Journal of Clinical Obstetrics and Gynaecology. 2022;6(1):182–184. doi:10.33545/gynae.2022.v6.i1c.1135.
 
7.
Koohmanaee S, Tamimi A, Ahmadimacciani S, Tamimi A, Aminzadeh V et al. The Coexistence of Gonadal Dysgenesis With Mayer-rokitansky-küster-hauser Syndrome, and Dandy-Walker Variant. Caspian Journal of Neurological Sciences. 2021;7(4):236–243. doi:https://doi.org/10.32598/cjns.....
 
8.
Jarial KDS, Thakur S, Kapoor N, Rathour S. Coexistence of Micro-Prolactinoma and Mayer-Rokitansky-Küster-Hauser Syndrome- A Rare Association. Indian J Endocrinol Metab. 2022;26(6):601–602. doi:10.4103/ijem.ijem_230_22.
 
9.
Zainordin NA, Mohd Shah FZ, Eddy Warman NA, Wan Muhammad Hatta SF, Mohamad AF, Abdul Ghani R. A rare case of macroprolactinoma in a patient with Mayer-Rokitansky-Kuster-Hauser (MRKH) syndrome. Endocrinol Diabetes Metab Case Rep. Published online December 1, 2021. doi:10.1530/EDM-21-0105.
 
10.
Pederson J, Kumar RB, Adams Hillard PJ, Bachrach LK. Primary ovarian insufficiency in adolescents: a case series. Int J Pediatr Endocrinol. 2015;2015(1):13. doi:10.1186/s13633-015-0009-z.
 
11.
Giri R, Vincent AJ. Prevalence and Risk Factors of Premature Ovarian Insufficiency/Early Menopause. Semin Reprod Med. 2020;38(4–05):237–246. doi:10.1055/s-0040-1722317.
 
12.
McGlacken-Byrne SM, Conway GS. Premature ovarian insufficiency. Best Pract Res Clin Obstet Gynaecol. 2022;81:98–110. doi:10.1016/j.bpobgyn.2021.09.011.
 
13.
Jokimaa V, Virtanen J, Kujari H, Ala-Nissilä S, Rantanen V. A Mayer-Rokitansky-Kuster-Hauser patient with leiomyoma and dysplasia of neovagina: a case report. BMC Womens Health. 2020;20(1):157. Published 2020 Jul 28. doi:10.1186/s12905-020-01026-1.
 
14.
Gweon S, Lee J, Hwang S, Hwang KJ, Kim M. A successful laparoscopic neovaginoplasty using peritoneum in Müllerian agenesis with inguinal ovaries accompanied by primary ovarian insufficiency. Obstet Gynecol Sci. 2016;59(4):342–345. doi:10.5468/ogs.2016.59.4.342.
 
15.
Dewi DK, Randy S, Wienanda AK, Christanto AG. Atypical form of Mayer-Rokitansky-Küster-Hauser syndrome: A case report. Radiol Case Rep. 2023;18(8):2806–2809. Published 2023 Jun 7. doi:10.1016/j.radcr.2023.04.050.
 
16.
Tsaur GT, Lee MH, Su SL, Wu MJ, Huang TW. Mayer-Rokitansky-Kuster-Hauser syndrome with immature teratoma of the ovary at age 4 years. Gynecol Oncol. 1995;56(3):456–459. doi:10.1006/gyno.1995.1082.
 
17.
Fontana L, Gentilin B, Fedele L, Gervasini C, Miozzo M. Genetics of Mayer-Rokitansky-Küster-Hauser (MRKH) syndrome. Clin Genet. 2017;91(2):233–246. doi:10.1111/cge.12883.
 
18.
Herlin MK. Genetics of Mayer-Rokitansky-Küster-Hauser (MRKH) syndrome: advancements and implications. Front Endocrinol (Lausanne). 2024;15:1368990. Published 2024 Apr 18. doi:10.3389/fendo.2024.1368990.
 
eISSN:1898-7516
ISSN:1898-2395
Journals System - logo
Scroll to top